Bărbat din SUA, ajuns la spital cu migrenă, cauzată de tenii. Alimentul care ar fi fost sursa infectării

0
Publicat:
Ultima actualizare:

Un bărbat din Statele Unite a fost internat la spital, pe motivul unor migrene care se tot agravau. Medicii au descoperit că durerea era cauzată de larvele de tenie parazite din creier. Cercetătorii sunt de părere că infectarea s-ar fi produs din cauza consumului unui anumit aliment.

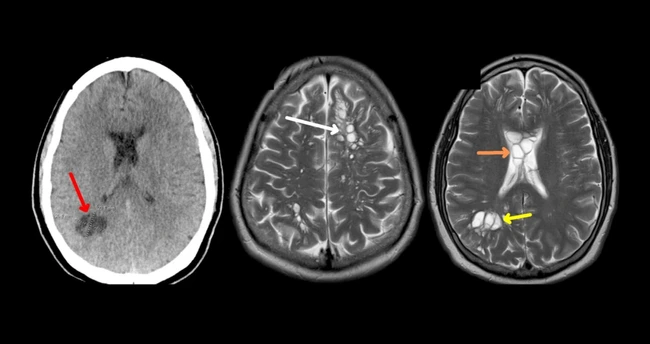
Scanările CT au evidențiat numeroase focare chistice FOTO American Journal of Case Reports/ NBC

Bărbatul american, în vârstă de 52 de ani, al cărui nume nu a fost făcut public, a mers la consultație pentru a afla cauza modificărilor migrenelor sale obișnuite, pe parcursul a patru luni, potrivit unui studiu publicat joi, în American Journal of Case Reports. Migrenele au devenit mai frecvente, mai severe și nu mai răspundeau la tratamentele medicamentoase, notează NBC News.

Prin urmare, pacientul a fost internat în spital pentru testare. Scanările CT au evidențiat numeroase focare chistice, care sunt saci umpluți cu lichid în creier. Testele de anticorpi pentru chistul cisticercozei au fost pozitive, iar bărbatul a fost diagnosticat cu neurocisticercoză, se arată în studiu.

Neurocisticercoza este o formă de infecție a țesutului parazitar cauzată de chisturile larvare ale teniei de porc găsite în creier, susțin Centrele pentru Controlul și Prevenirea Bolilor.

Slănina de porc, posibila sursă a infectării

Potrivit CDC, o persoană contractă cisticercoză prin ingerarea de chisturi larvare din fecale infectate, care apare, de obicei, din lipsa spălării mâinilor. Boala este endemică în țările în curs de dezvoltare din cauza salubrității deficitare.

Pacientul nu a călătorit recent în zone cu risc ridicat, iar „obiceiul său de a mânca slănină de porc insuficient gătită, necrocantă cea mai mare parte a vieții” a fost singura legătură cu diagnosticul de neurocisticercoză.

Se poate doar specula, dar având în vedere predilecția pacientului nostru pentru carnea de porc insuficient gătită și antecedentele de expunere benignă, credem că cisticercoza ar fi fost transmisă prin autoinfecție după spălarea necorespunzătoare a mâinilor, după ce el a contractat taeniasis din cauza obiceiurilor sale alimentare”, se concluzionează raportul.

Pacientul a fost tratat cu succes cu medicamente antiparazitare și antiinflamatoare. Leziunile sale cerebrale au regresat, iar durerile de cap s-au ameliorat.

Este „foarte rar” ca pacienții să contracteze neurocisticercoză în SUA, dar concluziile studiului pot schimba această noțiune.

Din punct de vedere istoric, este foarte neobișnuit să întâlnim carne de porc infectată în Statele Unite, iar cazul nostru poate avea implicații asupra sănătății publice”, se arată în raport.

Simptomele neurocisticercozei variază de la dureri de cap la convulsii, în funcție de ce structuri și țesuturi au fost infectate. Boala poate fi fatală, potrivit CDC.

Mai multe pentru tine:
Marina Almășan, la Judecătorie de mână cu noul iubit, Sorin Mărcuș: „A vrut s-o susțină în caz că venea Georgică Cornu” De ce a lipsit omul de afaceri timișorean de la ultima înfățișare
Daciana Sârbu vorbește deschis despre relația cu Alex Ghionea, iubitul cu 22 de ani mai tânăr: „Mi-am asumat mereu că voi fi judecată” VIDEO
Cel mai bun espresor manual 2026 – Top 4 + alternative Breville & De’Longhi: transformă fiecare ceașcă într-un ritual de barista la tine acasă
Cele mai bune 7 cafetiere din 2026 pe eMAG pentru dimineți perfecte cu cafea filtrată: Ghid complet pentru orice buget și necesitate
Transformă-ți cafeaua: Top 7 râșnițe de cafea 2026 – Cum să alegi modelul perfect pentru aromă intensă și prospețime garantată
Cele mai bune mașini de spălat vase independente 2026 – top 7 modele, cu recenzii excelente și preț avantajos. Economisește timp și energie
A meritat iubirea lor? Prinţul e pe punctul de a-şi pierde tronul din cauza scandalului iscat de ea
Destinații subestimate din Europa și mai puțin aglomerate. O americancă spune că s-ar întoarce oricând: „Am fost imediat fermecată”
Ce s-a întâmplat cu fiica prezentatoarei Teo Trandafir. Maia împlinește 22 de ani și apare extrem de rar în public FOTO
Cea mai bună mașină de spălat vase încorporabilă 2026 – Top 3 recomandări + alternative silențioase, eficiente și smart pentru bucătării moderne
Top 7 espressoare cu capsule 2026: libertate totală, rapiditate și gust autentic – băuturi perfecte cu un singur buton, acasă