Cel mai misterios os din corpul uman. Nici astăzi specialiștii nu i-au înțeles rolul în organism

0
Publicat:

Corpul uman reprezintă, chiar și astăzi, din unele puncte de vedere, un mister pentru specialiști. Cel mai misterios os din corpul nostru se numește fabella. Specialiștii nu știu nici astăzi ce rol are în organism și când a apărut de fapt. 

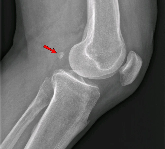
Fabella, un os în spatele genunchiului FOTO wikipedia

Deși suntem în secolul XXI și medicina a evoluat într-un mod incredibil, corpul uman încă ridică semne de întrebare pentru specialiști. Mai ales anumite părți ale acestuia. Unul dintre cele mai misterioase părți ale corpului uman este fabella, un os de mici dimensiuni situat în spatele rotulei genunchiului. Oamenii de știință nu și-au explicat nici până astăzi rolul acestui os și modul lui de apariție în aceea zonă anatomică.

„Mica boabă de fasole”, un mister al evoluției anatomice

Propriu-zis fabella este un os de dimensiunea unei boabe de fasole, de aici și denumirea în latină, fabella însemnând „mica boabă de fasole”. Din punct de vedere științitic fabella este un os seismoid care se află în spatele rotulei genunchiului, adică chiar în spatele încheieturii genunchiului, fiind un os seismoid, acesta crește în zona tendonului unui mușchi.

În momentul de față oamenii de știință, nu știu la ce folosește fabella. Este un mister absolut. Au fost însă avansate câteva teorii. Una dintre acestea arată că de fapt fabella este un os care ar reduce frecarea între tendoane sau redirecționează forța musculară. Alte păreri arată că acest os de mici dimensiuni ar contribui la creșterea forței mecanice a mușchiului, în cazul rotulei. Nu există însă dovezi concludente și concluzii demonstrate în acest sens. 

Un os care cucerește omul modern

Fabella este cu atât mai ciudat cu cât, a fost un os aproape dispărut la oameni, pe scara evoluției. Nu se știe cu precizie nici când a apărut la oameni. Cert este că o perioadă părea să ajungă pe cale de dispariție în anatomia umană. Studiile arată că în 1875, aproximativ 17.8% din populație. Culmea, prezența acestui os la oameni a scăzut la 11% în 1918. Pentru ca mai apoi să apară din nou, masiv, la populație. În momentul de față aproximativ 40% dintre noi au osul numit fabella, în spatele genunchiului.

O explicație ar fi faptul că omul modern este mai bine hrănit, deci mai înalt și mai greu. Greutatea și înălțimea ar pune presiune pe genunchi și în felul acesta fabella ar apărea mai des ca structură anatomică tocmai pentru a susține acest efort al rotulei. Culmea, deși aparent ar crește performanța musculară și eficacitatea utilizării picioarelor, fabella este o cauză a producerii osteoartritei la nivelul genunchiului. 

Mai multe pentru tine:
Cele mai bune cântare de bucătărie 2026 pe eMAG: Gadgetul care transformă rețetele, porțiile, proporțiile și sănătatea – ingrediente fără secrete
Cum să faci vafe, înghețată, ciocolată și alte mini-prăjituri ca un maestru cofetar în 2026: cele mai bune aparate pentru desert rapid și delicios!
Top 7 prăjitoare de pâine 2026 – Ghid complet pentru dimineți perfecte și alegeri fără regrete
O vedetă de televiziune e desfigurată din cauza unei infecții provocate de implanturile mamare: „Aveam silicon chiar și în ganglionii limfatici. E groaznic să îmbătrânești 20 de ani peste noapte”
O zodie își schimbă destinul la final de iarnă. După o perioadă apăsătoare, scapă de problemele grele și plânge de fericire. Norii se risipesc, iar speranța începe să prindă contur
Înnebunită să facă sex cu oricine, oricând, fosta ducesă a produs daună totală monarhiei. Cât de ipocrită a fost!
Top 7+ cuptoare electrice de masă 2026 – gătește rapid, uniform și fără compromis. Află dacă ai nevoie de acest electrocasnic și cumpără online
Top 7 sandwich makere 2026: Transformă gustările acasă în adevărate delicii gourmet, rapid și fără efort
Alina Pușcău și Jeffrey Epstein. Câți bani i-a trimis miliardarul pedofil mamei celebrului model
Diferența dintre mazărea congelată și cea la borcan. Care e mai sănătoasă
Top 6 grătare electrice 2026: Fripturi suculente perfect rumenite, panini aurii și legume crocante, fără fum sau bătăi de cap + ghid de cumpărare