Iaşi: I-a explodat puşca în mână

0
0
Publicat:
Ultima actualizare:
Adaugă-ne ca sursă preferată în Google
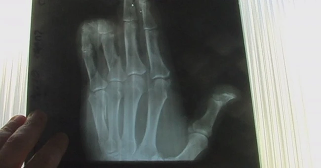
Radiografie

Un septuagenar a ajuns în stare gravă la spital în urma unui accident de vânătoare.

Victima, în vârstă de 72 de ani, din localitatea Dolheşti, se afla astăzi la vânătoare într-o comună ieşeană. La un moment dat se pare că puşca pe care o ţinea în mâna stângă i-a explodat. Septuagenarul a fost transportat imediat la Spitalul de Urgenţe „Sfântul Ioan" din Iaşi.

„După acordarea primelor îngrijiri medicale, pacientul a fost du în sala de operaţii a Clinicii de Chirurgie Reconstructivă.Pronosticul este rezervat din cauza leziunilor complexe cu amputatii traumatice de degete şi multiple fracturi", a explicat medicul Tudor Ciuhodaru de la Spitalul de Urgenţe „Sfântul Ioan".

În timp ce medicii vor încerca să-i salveze mâna septuagenarului, poliţiştii au demarat o anchetă pentru a stabili cum s-a produs accidentul.