Dr. Adina Cojocaru, despre simptomele neobişnuite ale Covid-19: „Sunt multe cazuri atipice, mulţi au doar somnolenţă, astenie, cefalee”

0
Publicat:
Ultima actualizare:
Medicii atrag atenţia că simptomele pentru COVID pot fi diferite de la persoană la persoană

Dr. Adina Cojocaru, medic la Spitalul Floreasca din Bucureşti, relatează pe pagina sa de socializare cazul unui bolnav care a ajuns noaptea la instituţia sanitară unde medicul lucra. Simptomele pacientului erau cu totul altele decât cele pe care le asociem, de regulă, noului coronavirus.

Redăm mai jos întreaga postare: 

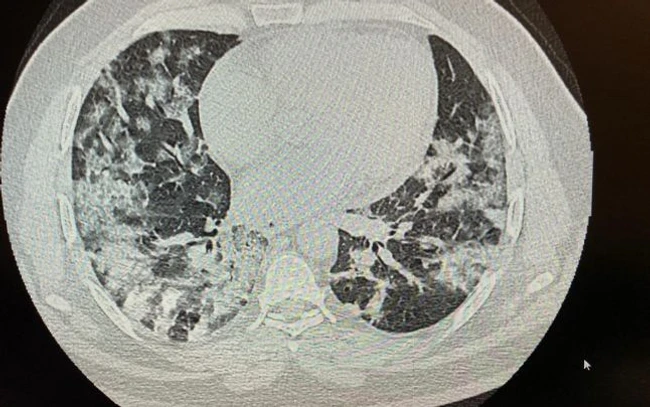
Un caz de azi noapte. Pacient in vârstă de 37 ani, se prezintă la camera de gardă Floreasca pentru sdr subocluziv intestinal şi subfebrilitate. CT-ul lui arată pneumonie interstiţiala. Are 65 saturatie in oxigen. Pentru el definiţia de caz a Institutului de Sănătate Publică nu mai face doi bani. Şi sunt multe asemenea cazuri, cele mai multe atipice, mulţi au doar somnolenţă, astenie, cefalee. Ei merg pe picioare chiar dacă au saturaţia foarte jos, merg la cumpărături, cu transportul public şi nu sunt de rea credinţă. Pur si simplu cred că în lipsa febrei si a tusei nu au această boală. Starea se deteriorează brusc, au nevoie de oxigen si apoi ajung la ATI.

Cum facem cu ei domnule doctor Bittman? Doamnă doctor Corina Chiriac? Ii trecem la numărătoare sau ne alăturam corului de ageamii care urlă că pacientul s-a internat pentru că nu făcea caca si nenorociţii de doctorii i-au pus diagnostic de Covid? Nenorociţii de doctori sunt obosiţi, duc lupta cu o boală parşivă, cu atoateştiutorii, cu cei de rea credinţă, din păcate uneori si cu cei de bună credinţa pentru ca e o boală imprevizibilă( pacientul în cauză nu crede că are Covid, înţelege cu greu ce i se întâmplă), duc lupta cu lipsa de bun simţ, cu masca purtată sub nas, cu măsurile haotice ale autorităţilor.

Imaginea CT e atât de sugestivă, saturaţia în oxigen nu mai spun, pacientul va pleca la laşi sau în Medgidia pe locuri eliberate în ATI. Acolo îl aşteaptă Dumnezeu cu mila lui. În Bucuresti nu mai sunt locuri libere. Deci cum facem domnule şi doamnă doctor Bittman şi Chiriac, intră la numărătoare sau nu? 

Mai multe pentru tine:
Mersul pe jos în stil japonez. Un antrenament de jumătate de oră care are de 10 ori mai multe beneficii decât 10.000 de pași pe zi
Top 7+ cuptoare electrice de masă 2026 – gătește rapid, uniform și fără compromis. Află dacă ai nevoie de acest electrocasnic și cumpără online
Cum să faci vafe, înghețată, ciocolată și alte mini-prăjituri ca un maestru cofetar în 2026: cele mai bune aparate pentru desert rapid și delicios!
Alerga pe malul Dâmboviței și a văzut ceva în apă. Ce a făcut apoi a emoționat mii de oameni: "Ai fost îngerul lui!"
Ce a pățit un vlogger danez în timp ce făcea autostopul la noi în țară: „Tot ce ați auzit despre România e greșit”
Cele mai bune cântare de bucătărie 2026 pe eMAG: Gadgetul care transformă rețetele, porțiile, proporțiile și sănătatea – ingrediente fără secrete
Cel mai bun espresor manual 2026 – Top 4 + alternative Breville & De’Longhi: transformă fiecare ceașcă într-un ritual de barista la tine acasă
Top 7 aparate de vidat 2026 pe eMAG: Eroul invizibil din bucătărie care te ajută să păstrezi alimente proaspete săptămâni întregi și să nu-ți golești bugetul
Cafea ca la cafenea, fără efort, direct la tine acasă: Top 7 espressoare automate de top în 2026 – Găsește modelul perfect pentru dimineți pline de savoare
Mare amatoare de senzații tari, o actriță de top s-a lăsat „biciuită până la extaz”. Confesiunile ei ne fac să ne înfiorăm!
Rețetă tiramisu de post. Cum prepari un desert la fel de gustos ca varianta originală